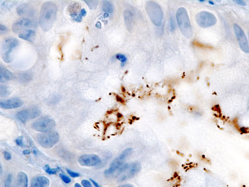
Bakteria żyjąca w żołądku pomimo silnie kwaśnego środowiska
Odpowiedzialna jest za uczucie zgagi, bóle w nadbrzuszu, refluks, kłucie w "dołku"
powoduje uczucie palenia w przełyku i żołądku, nadżerki przełyku i wrzody żołądka, które traktowane są jako stan przed nowotworowy, w szczególnych przypadkach może prowadzić do raka żołądka
Przygotowanie pacjenta:
Przeciwwskazania dla badania:
Badanie polega na:
